|

بهترین پزشکهای تهران برای درمان زگیل تناسلی؛ تفاوت و تشخیص جوش، تبخال و HPV

اگر شما نیز از بیماری زگیل تناسلی رنج میبرید و اعتماد به نفس خود را از دست داده اید، پس حتما با این مطلب همراه باشید.

لینک کوتاه کپی شد

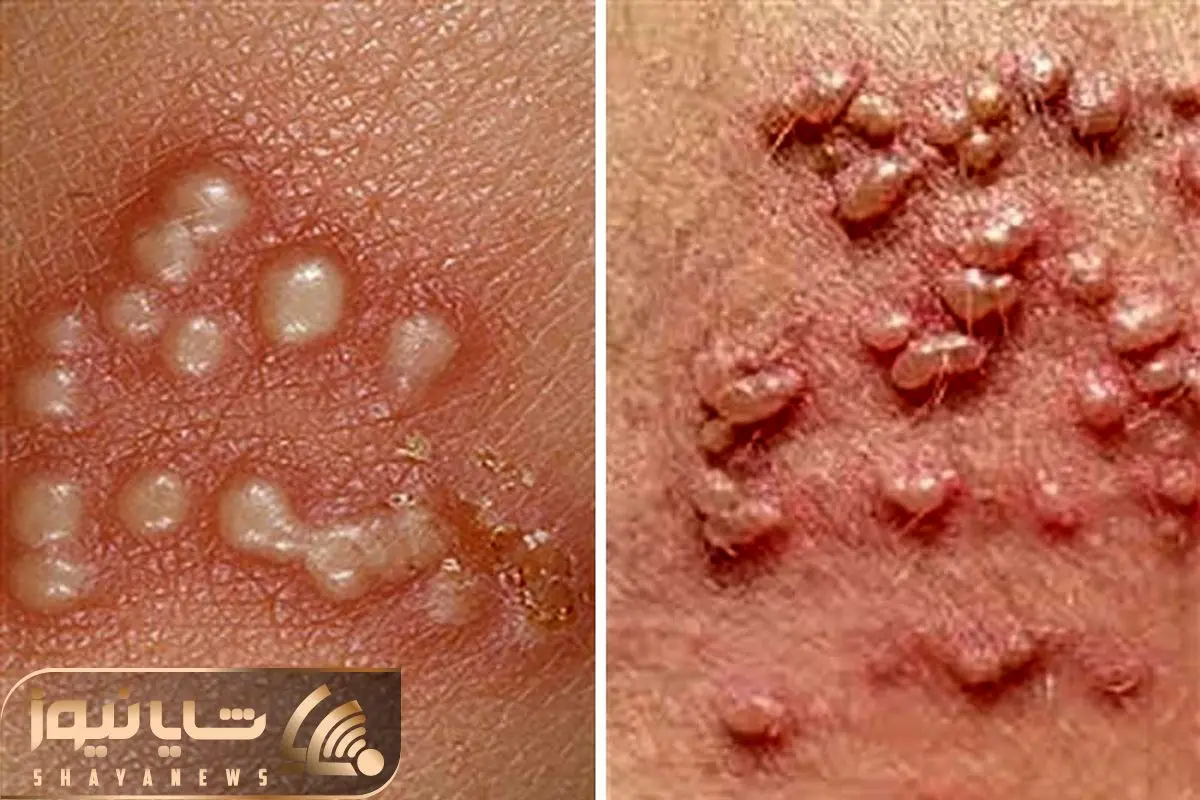
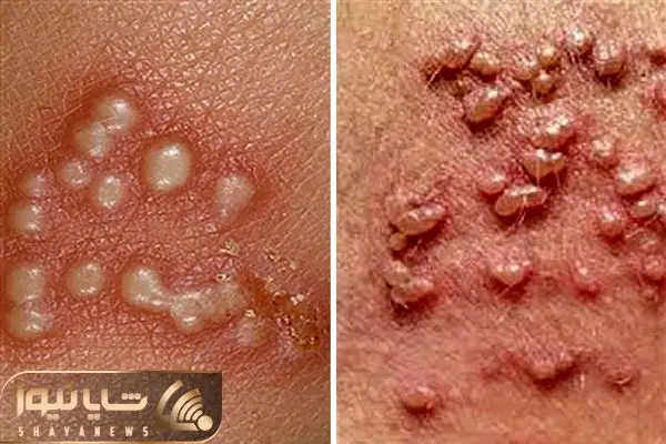
شایانیوز- زگیل تناسلی. قطعا به گوشتان خورده و همه ما ترس آن را داریم. زگیل تناسلی یا HPV یکی از شایع ترین بیماری های ویروسی منتقله از راه تماس جنسی است که میتواند هم برای مردان و هم زنان خطرناک باشد. این بیماری نه تنها ظاهر ناخوشایندی ندارد، بلکه برخی گونه های آن ممکن است به سرطان دهانه رحم یا سرطان آلت تناسلی نیز منجر شود. بنابراین تشخیص سریع و مراجعه به پزشک متخصص اهمیت فراوانی دارد. انتخاب پزشکی که تجربه کافی در درمان این عارضه را داشته باشد، میتواند نقش تعیین کننده ای در کنترل بیماری، پیشگیری از عود و حفظ سلامت فردی و جنسی ایفا کند. ما در این مطلب با چند پزشک حازق در این راستا آشنا می شویم که در تهران هستند.

878

دکتر محمدرضا جعفری شافدانی، متخصص اورولوژی با تجربه لیزر درمانی

دکتر جعفری شافدانی یکی از شناخته شده ترین چهره ها در درمان زگیل تناسلی در تهران است. او دارای فلوشیپ اندویورولوژی و سالها تجربه در درمان مردان مبتلا به HPV است. تکنیک اصلی درمانی ایشان استفاده از لیزر CO2 برای حذف زگیل هاست که با حداقل درد و جای زخم همراه است. مطب ایشان در شمال تهران، منطقه نیاوران قرار دارد و با تجهیزات به‌روز و فضایی بهداشتی، گزینه ای مناسب برای آقایانی است که به دنبال درمان موثر هستند.

اولی

دکتر عاطفه الهویی نظری، متخصص زنان و جراح باتجربه در درمان HPV

برای خانم هایی که به دنبال درمان تخصصی زگیل تناسلی هستند، دکتر الهویی نظری گزینه ای قابل اعتماد است. چرا که او متخصص بیماری های زنان با سال ها تجربه در زمینه کولپوسکوپی، تشخیص دقیق ناحیه آلوده به HPV و درمان های ترکیبی دارویی و جراحی است. خدمات ایشان شامل واکسیناسیون گارداسیل برای پیشگیری، لیزر درمانی و پیگیری های منظم بعد از درمان است. مطب دکتر الهویی در منطقه غرب تهران قرار دارد و با نوبت دهی منظم و ارتباط آسان با بیماران، تجربه ای آرام و حرفه ای را فراهم میسازد.

دومی

کلینیک HPV رونا، درمان تخصصی زوجین در یک فضای مدرن

یکی از مراکز پیشرفته در درمان زگیل تناسلی، کلینیک رونا است که توسط دکتر محمد رنجبری (اورولوژیست) و دکتر الهه تاج احمدی (متخصص زنان) اداره میشود. این کلینیک واقع شده در شهرک غرب تهران است و رویکردی زوج محور دارد به این معنا که درمان همزمان زن و شوهر به شکل موازی انجام میشود تا احتمال بازگشت بیماری به حداقل برسد. در کلینیک رونا از جدیدترین تکنولوژی های لیزر، کولپوسکوپی دیجیتال و داروهای ضدویروس استفاده میشود. برخورد حرفه ای و حفظ کامل حریم خصوصی بیماران، این کلینیک را به یکی از بهترین گزینه‌ها برای درمان HPV تبدیل کرده است.

سومی

دکتر زهرا غلامی و دکتر مهشید نمدی، انتخاب های مطمئن برای بانوان

دکتر زهرا غلامی، متخصص زنان و زایمان، در فلکه دوم صادقیه مطب دارد و یکی از پزشکان فعال در زمینه درمان زگیل تناسلی با روش های لیزری و کولپوسکوپی است. رویکرد او دقیق، علمی و مبتنی بر بررسی کامل علائم و سوابق بیمار است. همچنین دکتر مهشید نمدی، مامای حرفه‌ای و عضو انجمن مامایی ایران، در سعادت‌آباد تهران مشغول به فعالیت است. او خدمات تشخیصی (پاپ اسمیر، نمونه برداری) و درمانی را به صورت کامل ارائه میدهد. ترکیب تجربه، دقت و اخلاق حرفه‌ای، این دو پزشک را به گزینه هایی عالی برای زنان تبدیل کرده است.

چهارمی

راهنمایی برای انتخاب پزشک مناسب

قبل از تصمیم‌گیری نهایی برای مراجعه به پزشک، توصیه میشود چند نکته را مدنظر داشته باشید. اول، بررسی نظرات بیماران در سایت هایی مانند دکترتو یا پذیرش۲۴ به شما کمک میکند تا از تجربه دیگران استفاده کنید. دوم، مشخص کنید که به چه نوع درمانی نیاز دارید: لیزر؟ درمان دارویی؟ واکسن؟ سپس با توجه به تخصص پزشک، موقعیت مطب و راحتی دسترسی، گزینه مناسب را انتخاب کنید. همچنین اگر زوج هستید و هر دو مبتلا به HPV هستید، کلینیکی مثل رونا که به‌صورت همزمان هر دو را درمان میکند، انتخاب هوشمندانه تری خواهد بود.

درمان HPV اگر به موقع و اصولی انجام شود، نه تنها می‌تواند از پیشرفت بیماری جلوگیری کند بلکه به افزایش آرامش روانی بیمار هم کمک دارد. تهران با داشتن پزشکان متخصص و کلینیک های به‌روز، امکان درمان کامل و بدون دردسر این بیماری را فراهم کرده است. از بین پزشکان معرفی‌شده، بسته به جنسیت، شدت بیماری و موقعیت جغرافیایی، می‌توانید انتخابی مطمئن داشته باشید و با اطمینان خاطر مسیر درمان خود را آغاز کنید.

6878646

پیشنهادات ویژه
پیشنهادات ویژه
دانش آراستگی
دیدگاه تان را بنویسید

آشپزی
خانه داری
تفریح و سرگرمی
دنیای سلبریتی ها
نیازمندی‌ها